Nėštumas - tai ypatingas metas moters gyvenime, kupinas džiaugsmingų lūkesčių, tačiau tuo pačiu metu reikalaujantis ypatingo dėmesio savo sveikatai. Viena iš klausimų, kylančių būsimoms mamoms, yra dantų priežiūra ir galimi stomatologiniai gydymai, ypač jei prireikia danties rovimo. Nors daugelis procedūrų rekomenduojama atidėti po gimdymo, kartais danties rovimas tampa neišvengiamu sprendimu, siekiant apsaugoti tiek motinos, tiek vaisiaus sveikatą.
Kada danties rovimas nėštumo metu yra būtinas?
Situacijos, kai tenka rauti dantį nėštumo metu, gali būti įvairios. Dažniausiai tai susiję su ūmiomis problemomis, kurios kelia didesnę riziką nei pati procedūra. Viena iš tokių yra neišgydomas, skilusis ar pažeistas dantis, kuris tampa infekcijos židiniu. Toks dantis, kaip nurodo specialistai, gali sukelti rimtų komplikacijų nėštumui, pavyzdžiui, persileidimą ar priešlaikinį gimdymą.

Viena iš skaitytojų pasidalino savo patirtimi, kai trečiojo nėštumo trimestro pabaigoje teko susidurti su skaudančiu krūminiu dantimi. Stomatologė rekomendavo jį rauti, nes kitoks gydymas nebuvo įmanomas. Nors iki gimdymo liko labai mažai laiko, baimė pakenkti vaikeliui buvo didelė. Vis dėlto, po konsultacijų ir apsvarstymų, buvo priimtas sprendimas dantį rauti, siekiant išvengti galimų infekcijos komplikacijų. Šis sprendimas leido motinai ramiai laukti gimdymo, nejausdama nuolatinio skausmo ir nerimo dėl infekcijos.
Kita situacija, kuri reikalauja ypatingo dėmesio, yra pulingo darinio susidarymas aplink dantį dėl jo skilimo. Net jei dantis neskauda, toks darinys yra nuolatinis uždegimo šaltinis organizme. Planuojant nėštumą ar jau esant nėščiai, toks uždegimas gali sukelti nepageidaujamų pasekmių, todėl danties rovimas tampa rekomenduojamas, siekiant užtikrinti saugią aplinką vaisiaus vystymuisi.
Dantų sveikata nėštumo metu: hormonų įtaka ir prevencija
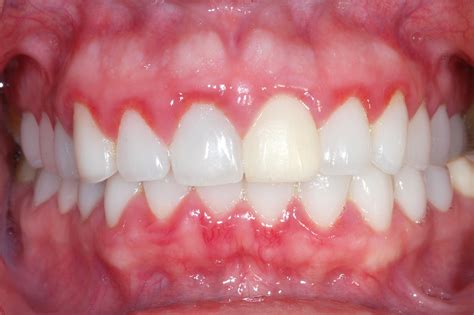
Nėštumo metu organizme vykstantys hormoniniai pokyčiai gali turėti įtakos ir dantų bei dantenų sveikatai. Kaip teigia gydytoja odontologė Mantvilė Vindašiūtė, dėl hormoninių pokyčių nėštumo metu dantenas labiau pažeidžia apnašos, todėl gali atsirasti uždegimas ir kraujavimas, vadinamas nėštuminiu gingivitu. Dėl hormonų pokyčių pasikeičia ir dantenų kraujotaka, jos gali paburkti, skaudėti, kraujuoti. Nors šie pokyčiai gali išgąsdinti, dažniausiai jie nėra pavojingi sveikatai ir yra laikini.

Kartais nėštumo metu dantys gali tapti jautresni, netgi pradėti klibėti. Tai taip pat susiję su hormonais, kurie atpalaiduoja raumenis ir kartais dantenas. Kai dantenos atsipalaiduoja, dantys gali pajudėti iš vietos, tačiau, anot specialistų, baimintis dėl danties praradimo nereikėtų.
Norint išvengti ar sumažinti šias problemas, ypatingai svarbi tampa kruopšti dantų higiena. Rekomenduojama dantis valyti du kartus per dieną po dvi minutes, naudojant įprastą arba elektroninį dantų šepetėlį. Svarbu rinktis dantų pastą su natūraliais mineralais ir fluoru, kuris padeda apsisaugoti nuo ėduonies. Taip pat patariama atsisakyti saldžių gėrimų, nealkoholinio vyno ar alaus bei saldumynų. Jei kyla dantenų problemų, rekomenduojama kelis kartus per dieną burną skalauti specialiu skalavimo skysčiu, kuris, nors ir nepašalina apnašų, gali sumažinti lipnių apnašų susidarymą ir bakterijų kaupimąsi.
Jei moteris vargina vėmimas, po kiekvieno tokio atvejo patariama skalauti burną vandeniu, kad būtų išvengta dantų pažeidimų, kuriuos gali sukelti skrandžio rūgštis.
3 svarbiausi dantų priežiūros patarimai nėštumo metu
Nuskausminimas ir saugumas procedūros metu
Viena iš didžiausių nėščių moterų baimių, susijusių su danties rovimu, yra nuskausminamųjų vaistų poveikis vaisiui. Tačiau stomatologai, atliekantys tokias procedūras nėštumo metu, naudoja specialius, nėščioms moterims saugius nuskausminamuosius vaistus. Kaip teigia viena iš patyrusių mamyčių, kuri dantį rovė 35-ąją nėštumo savaitę, stipresni nuskausminamieji turbūt nėra rekomenduojami, tačiau net ir gimdymo metu naudojami vaistai (pvz., morfijus, epidūras) patenka vaikui, ir jei tai būtų labai pavojinga, medikai jais nesinaudotų. Svarbiausia yra informuoti gydytoją apie nėštumą, kad jis galėtų parinkti tinkamiausius vaistus ir procedūros eigą.
Viena iš skaitytojų pasidalino itin teigiamu patyrimu klinikoje „Denticija“ Vilniuje. Ji buvo priimta skubiai, nors kitur siūlydavo laukti savaitėmis ar net po švenčių. Gydytojas, atlikęs danties rovimo procedūrą, patvirtino, kad geriau rauti, nes negydomo danties pasekmės gali būti blogesnės. Procedūra, įskaitant nuskausminimą, truko apie 15 minučių, nebuvo jaučiamas joks skausmas, netgi prieš dūrio vietą buvo patepta šaldančiu tepalu. Aplinka buvo itin švari ir sterili. Ši patirtis patvirtina, kad esant tinkamam gydytojui ir pasirinktai klinikai, danties rovimas nėštumo metu gali būti saugus ir nesukelti papildomų rūpesčių.

Bendradarbiavimas tarp specialistų
Kai danties gydymas nėštumo metu yra būtinas, svarbu, kad odontologas glaudžiai bendradarbiautų su nėštumą prižiūrinčiu gydytoju. Toks bendradarbiavimas leidžia užtikrinti, kad visos procedūros ir paskirti vaistai būtų maksimaliai saugūs motinai ir vaikui. Ypač pavojinga situacija yra ūmi infekcija su pūliavimu, kuri reikalauja skubaus ir profesionalaus gydymo.
Apibendrinant
Danties rovimas nėštumo metu nėra dažnas atvejis, tačiau kartais tampa neišvengiamas. Svarbiausia yra nebijoti kreiptis pagalbos į specialistus ir atvirai aptarti visas baimes bei rūpesčius. Tinkamai parinkti nuskausminamieji vaistai, profesionalus gydytojas ir bendradarbiavimas su nėštumą prižiūrinčiu mediku leidžia užtikrinti procedūros saugumą ir apsaugoti tiek motinos, tiek vaisiaus sveikatą. Nuolatinė dantų higiena ir prevencinės priemonės nėštumo metu taip pat yra labai svarbios, siekiant išvengti rimtesnių problemų.